Figure 121
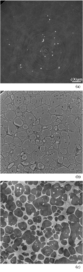
Fig. 121: Three tomographic slices of an aluminium-silicon alloy quenched from the semi-solid state, obtained (a) using absorption contrast, (b) using phase contrast and a single propagation distance, (c) using phase contrast and holotomography based on four distances.
| back to: Holotomography Now Operational |



